På kreftlex.no bruker vi informasjonskapsler for samle inn nettstatisikk for å forbedre nettsiden og måle hvor godt den fungerer. Ved å benytte kreftlex.no godkjenner du dette.

Skriv ut

Utredning ved testikkelkreft

For å vurdere best mulig behandling må alle pasienter gjennomgå klinisk undersøkelse, blodprøver, bildediagnostikk, vevsprøve og sædanalyse.

Pasientene får tilbud om nedfrysing av sæd før cellegiftbehandling, fjerning av lymfeknuter på bakre bukvegg (retroperitonealt glandeltoalett) eller strålebehandling. Det blir mer og mer vanlig å fryse ned sæd allerede før testiklene opereres bort. 

Når det gjelder pasientens sykehistorie er det først og fremst viktig å få vite om det er andre i familien med germinalcellesvulst. Deretter er det viktig å vite om pasienten har hatt testikkelretensjon, det vil si at testiklene ikke kom ned i pungen ved fødselen. Manglende evne til å få barn, betennelser i testiklene eller om pasienten har gjennomgått operasjoner i lysken eller pungen er viktig informasjon. Det bør også noteres om pasienten har brukt anabole stereoider eller har opplevd endringer i seksuallyst eller potens.

Klinisk undersøkelse

  • Undersøkelse av testikkel, bukregion (abdomen), lymfeknuter i lysken, under armene og på halsen
  • Undersøkelse av lungene med stetoskop
  • Undersøkelse av bryst med tanke på forstørrelse av brystkjertler

Blodprøver

  • TumormarkørerAFP, hCG, LDH skal måles både før og etter operasjon. AFP er økt hos 50–70 % av pasientene med non-seminom mens seminomene ikke produserer AFP. Positive AFP-prøver utelukker derfor seminom. hCG  er økt i 40–60 % av tilfellene med non-seminom og i 10–25 % av tilfellene med seminom. 
  • Hormonprøver. FSH, LH, testosteronSHBG
  • Virusprøver. HIV, hepatitt B og C, syfilis

 Bildediagnostikk

  • Ultralyd av begge testiklene
  • CT av lunger, bukregion og bekken for å kartlegge om det foreligger spredning
  • MR av hodet, ryggrad og bekken gjøres hos pasienter i dårlig prognosegruppe samt ved mistanke om spredning til hjernen

Vevsprøve

Vevsprøve er vanligvis ikke nødvendig før kirurgisk fjerning av testiklene. Ultralydundersøkelse er ofte tilstrekkelig for å fastslå om det er en ondartet svulst. Ved usikkerhet om dette, vil det bli tatt vevsprøve av testikkelen med frysesnitt. Dette er en hurtigmetode for å stille diagnose.

Det skal tas vevsprøve av motsatt testikkel ved germinalcellesvulster i familien, testikkelretensjon, ufrivillig barnløshet eller underutviklet/innskrumpet testikkel. Vevsprøve tas fra begge testikler ved germinalcellesvulst utenfor kjønnskjertlene, selv om ultralyd er normal.

Nedfrysing av sæd

Nedfrysing av sæd skal tilbys alle pasienter. Dersom dette er ønskelig bør det gjøres før operasjon av testikkel og alltid før behandling med cellegift og operasjon av lymfeknuter i bukhulen. For pasienter som trenger umiddelbar behandling med cellegift, prioriteres dette foran nedfrysing av sæd.

Les mer om nedfrysing av sæd >>>

Analyse av vevsprøver

Vevsprøver sendes til histologisk analyse. Analysene kan være avgjørende for hvilken behandling pasienten får.

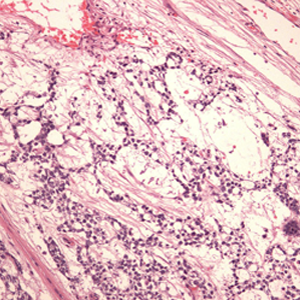
Bildeeksempler:

'

Germinalcellesvulst

En germinalcelletsvulst utvikles fra celler som normalt gir opphavet til kjønnscellene i testiklene. Rene seminomer utgjør cirka halvparten av alle germinalcellesvulster i testikkelen. De fleste ikke-seminomatøse svulster er blandingssvulster, av flere forskjellige typer, hvorav seminom kan være en av komponentene. De øvrige typer er embryonalt karsinom, plommesekktumor (endodermal sinustumor), koriokarsinom og teratom. Hvis det er både seminom og non-seminom i samme svulst, behandles pasienten som om han har en non-seminom tumor, på grunn av at det er den mest aggressive typen.

Ulike germinalcellesvulster

Intratubulær germinalcelleneoplasi

Forkortet, IGCNU (intratubulær germ cell neoplasia, unclassified type) er germinalceller som avviker fra det normale, med rikelig vakuolisert cytoplasma med store uregelmessige kjerner og tydelige kjernelegemer lokalisert i sædkanalene. Regnes som et forstadium til germinalcellesvulster.

Seminom

Germinalcellesvulst som er bygget opp av ensartete celler med lyst eller tett glykogenholdig cytoplasma med stor regelmessig kjerne, med en eller flere kjernelegemer og tydelige cellegrenser. Seminomer utgjør cirka 50 % av alle germinalcellesvulster i testikkelen. Den forkommer uhyre sjelden hos barn, ungdommer eller hos pasienter over 70 år.

Non-seminom

Non-seminom utgjør cirka 50 % av alle germinalcellesvulster i testikkelen. Litt over 10 % er rene former. Plommesekktumor og teratomer forekommer hos barn, men har et annet klinisk forløp enn hos voksne.

Embryonalt karsinom

Embryonalt karsinom er den nest hyppigste type av germinalcellesvulster i testiklene. Svulstcellene er relativt store, med kjerner som avviker grovt fra det normale. Tumoren kan vokse solid, med kjertler eller papillære strukturer.  

Plommesekktumor

Plommesekktumorer har ofte et løst stroma med embryonalplate-liknende strukturer. Den kan vise en rekke ulike vekstmønstre, inkludert differensiering av levervev og tarm. Hos barn opptrer svulsttypen så godt som alltid alene, mens den hos voksne nesten alltid inngår som en komponent i en blandet tumor. Plommesekksvulster produserer alfa føtoprotein (AFP), som kan påvises i serum i ofte meget høye konsentrasjoner.  AFP kan også påvises med immunhistokjemisk undersøkelse av mikroskopiske snitt.

Teratom

Teratom er den nest hyppigste testikkelsvulst hos barn og regnes da som godartet. Hos voksne er teratomer i testikkelen alltid ondartete.

Teratomene innholder forskjellige vevstyper og imiterer umodent fostervev eller mer modent vev. Umodne komponenter er ofte neuroektodermalt eller mesenkymalt vev, mens mer modne komponenter ofte er cystiske med forskjellige typer av epitel eller består av glatt muskulatur, bindevev eller brusk. Fordi teratomene ofte inneholder en blanding, er man gått bort fra den tidligere inndeling i modne eller umodne teratomer. De ulike vevselementene i teratomer kan av og til utvikle en sekundær ondartethet av såkalt somatisk type (tidligere kalt ”malign transformasjon”). Eksempel er utvikling av platepitelkarsinom i et område med hud-differensiering i teratomdelen av germinalcellesvulsten.

Koriokarsinom

Koriokarsinom forekommer som en del av svulsten i cirka 25 % av de blandede germinalsvulstene i testiklene hos voksne. Den opptrer meget sjeldent som en ren svulst. Svulsten forekommer så godt som aldri hos barn. Koriokarsinom produserer hCG, som kan påvises i blodet eller ved immunhistokjemisk undersøkelse av mikroskopiske snitt.

Under mikroskop ses to celletyper, cyto- og syncytiotrofoblaster. Syncytiotrofoblast alene berettiger ikke til diagnosen koriokarsinom. Svulsten er ofte preget av blødning og nekroser, og det er hyppig innvekst i kar. 

Spermatocyttisk seminom

Denne svulsten ble tidligere regnet som en variant av seminom, men er en helt separat svulsttype. Spermatocyttiske seminomer utgjør 1–2 % av alle germinalcellesvulster, ses utelukkende i testikkelen og opptrer hos menn, som regel eldre enn 50 år. Under mikroskop opptrer svulstcellene i flere ulike former og ligger ofte i et slimlignende stroma. Spermatocyttiske seminomer sprer seg ekstremt sjelden til andre organer. Kirurgisk fjerning av testikkelen er derfor tilstrekkelig behandling, selv ved store svulster. Utvikling av sarkomer har vært rapportert i spermatocyttiske seminomer som har stått ubehandlet over lang tid.

Kjønnsstreng og andre støttecelletumorer

Flere ulike svulsttyper finnes i denne gruppen, men alle er sjeldne. Her behandles derfor bare de mest vanlige.

  • Leydigcelletumor. Svulsten utgår fra leydigceller. Svulstene utgjør cirka 1–3 % av alle svulster  i testikkelen og kan være hormonproduserende. De aller fleste er godartet og kan behandles med lokal fjerning av svulsten. Ondartet utvikling forekommer i ca 10 % og innebærer økt størrelse (mer enn 5 cm), funn av unormale celler, økt celledeling, nekroser, karinnvekst og aneuploid DNA-fordeling. 
  • Sertolicelletumor forekommer mindre enn 1 % av testikkelkreftsvulstene meget sjelden ondartet.
  • Granulosacellesvulst i testikkelen likner granulosacellesvulst i eggstokken i oppbygging og form. Svulsten er ekstremt sjelden hos voksne menn, men utgjør 6 % av testikkelkreft hos barn.
  • Kjønnsstreng-/støttecelletumorer av andre typer og differensiering. Svulstene er ofte bygget opp av udifferensiert vev, med eller uten abortive tubuli, grupper med leydigceller eller andre gonadestromaceller. Svært sjeldne svulster der flertallet regnes som godartete.
  • Gonadoblastom. Svulsten består av to celletyper: store germinalceller som seminomceller og små celler som likner granulosaceller eller sertoliceller. Elementer som likner leydigceller eller luteinliknende celler kan også være tilstede. Gonadoblastom (GB) ses hos individer med medfødt feil i utvikling av eggstokker eller testikler (gonadedysgenesi) og tvetydige kjønnsorganer (kryptorkisme, hypospadi, utvikling av brystkjertler og kvinnelige indre kjønnsorganer). Risiko for å utvikle GB ved gonadedysgenesi er 15–25 %. Gonadoblastom har en svært høy risiko for utvikling av geminalcellesvulst.

    GB forekommer sjelden hos fenotypiske og genotypiske menn.

                              
Les mer om ulike germinalcellesvulster
Informasjonen du finner i Kreftlex er utelukkende av generell karakter og erstatter ikke kontakt med, eller undersøkelse og behandling, hos autorisert helsepersonell.
Institutt for kreftgenetikk og informatikk © 2026
Lag en lenke til Kreftlex fra din mobil