På kreftlex.no bruker vi informasjonskapsler for samle inn nettstatisikk for å forbedre nettsiden og måle hvor godt den fungerer. Ved å benytte kreftlex.no godkjenner du dette.

Skriv ut

Utredning ved livmorkreft

Ved utredning av livmorkreft må pasienten gjennomgå klinisk undersøkelse, bildediagnostiske undersøkelser og vevsprøvetaking. Hensikten med de ulike undersøkelsene er å anslå svulstens celletype, utbredelse og eventuell forekomst av spredning for å kunne bestemme videre behandling.

Klinisk undersøkelse

Ved symptomer på livmorkreft gjøres en gynekologisk undersøkelse med palpasjon og ultralyd via skjeden. Det tas samtidig vevsprøver til histologisk vurdering.

Bildediagnostiske undersøkelser

Røntgen toraks og MR utføres for å kartlegge sykdomsutbredelse og eventuelle spredningssvulster. En MR-undersøkelse kan gi et godt inntrykk av svulstens størrelse, hvor dypt svulsten vokser inn i livmorveggen og av eventuell nedvekst i livmorhals. I tillegg gir undersøkelsen en oversikt over eventuell spredning utenfor livmor, primært til lymfeknuter i bekkenet og langs de store blodkarene i bakre bukvegg.

Bildeeksempler

Vevsprøvetaking

Vevsprøvetaking fra livmorslimhinnen med pipelle gir ofte for sparsomt materiale til å fastsette svulstens celletype og hvor mye svulstvev avviker fra normalt vev (differensieringsgrad). Såfremt disse opplysninger ikke foreligger, må det foretas utskrapning fra livmorslimhinnen i narkose.

Analyse av vevsprøver

Vevsprøver sendes til histologisk analyse. Analysene kan være avgjørende for hvilken behandling pasienten får.  

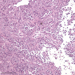
Type 1: Den vanligste typen kreft i livmor utgår fra livmorslimhinnen og kalles endometrioidadenokarsinom. Dette betegnes som type 1. Denne svulsttypen forekommer som regel hos kvinner i eller rundt den reproduktive overgangsalderen. Den påvirkes av hormonnivåer, særlig østrogen. Type 1-svulster har generelt en god prognose, men type 1/grad 3-svulster har en noe dårligere prognose enn type 2-svulster.

Type 2: Svulster av type 2 ses hos eldre kvinner (gjerne over 60 år) uten tegn på langvarig østrogenstimulering. De består i hovedsak av serøst papillært adenokarsinom og klarcellet adenokarsinom.

Immunhistokjemiske undersøkelser (p53, østrogenreseptor, progesteronreseptor) og DNA-ploidiundersøkelse kan hjelpe legen å bestemme sykdommens undertype. 

 

  • Endometrioid adenokarsionom (75 %–80 %)
  • Adenokarsinom med plateepiteldifferensiering
  • Adenoakantom
  • Adenoskvamøst karsinom
  • Serøst papillært karsinom (< 10 %)
  • Mucinøst (slimproduserende celler) karsinom (1 %)
  • Klarcellet (klare/bleke celler) karsinom (4 %)
  • Plateepitelkarsinom (< 1 %)
  • Blandet karsinom (10 %)
  • Udifferensiert karsinom

Blandede svulster

Karsinosarkomer og adenosarkomer består begge av én del som har utgått fra overflatelaget (epitelet) i livmor og én del som har utgått fra bindevevslaget (mesenkymet). I karsinosarkomer er begge komponenter ondartede, mens i adenosarkomer er den epiteliale delen godartet. 

Karsinosarkomer har opphav i ett utgangspunkt i slimhinnen (endometriet). Sarkomdelen ses oftest hos eldre kvinner hvor menstruasjonen har opphørt. Denne typen oppfører seg biologisk som aggressive karsinomer med en høy spredningshyppighet, særlig til lymfeknuter.

Utredning ved tilbakefall av livmorkreft

Cirka 70 % av tilbakefall kommer innen 3 år etter første behandling.

Aktuelle undersøkelser

Tilbakefall forekommer vanligvis i bekken, øvre bukhule, lunge, lever, skjelett og hjerne (sjelden).

Informasjonen du finner i Kreftlex er utelukkende av generell karakter og erstatter ikke kontakt med, eller undersøkelse og behandling, hos autorisert helsepersonell.
Institutt for kreftgenetikk og informatikk © 2026
Lag en lenke til Kreftlex fra din mobil