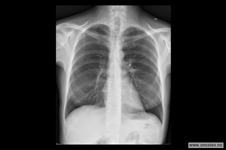
Røntgen toraks er en røntgenundersøkelse som tas for å se på lunger, hjerte og lymfeknuter i brystskilleveggen mellom lungene.
Hvorfor gjennomføres undersøkelsen?
Hensikten med undersøkelsen er å stille diagnose, kartlegge sykdommens utbredelse, kontrollere forholdene i lungene før en eventuelt operasjon, eller vurdere effekten av behandlingen. Ved spesielle problemstillinger vil eventuelle spesialbilder bli tatt.
Hvordan foregår undersøkelsen?
Du blir bedt om å kle av deg på overkroppen og stå foran et røntgenapparat. Deretter vil du få beskjed om å trekke pusten dypt inn og holde pusten når bildene blir tatt. Det tas front- og sidebilde. I spesielle tilfeller, for eksempel dersom du ikke klarer å stå oppreist, kan bildene tas mens du sitter eller ligger i sengen.
Hvor lenge varer undersøkelsen?
Undersøkelsen varer bare noen få minutter.
Hvordan forbereder jeg meg?
Undersøkelsen krever ingen forberedelser.
Gjør det vondt?
Undersøkelsen medfører ingen smerte.
Når får jeg resultatet?
Resultatet er klart etter cirka 1 uke. Inneliggende pasienter får vanligvis svar neste dag.
Under bildeopptaket står pasienten i en bestemt stilling foran røntgenapparatet.
Det tas bilder i front og fra siden.
Strålene som passerer gjennom kroppen treffer en sensor på den andre siden.
Røntgenbildet viser skjelett og lunger tydelig.
Forrige
Neste