På kreftlex.no bruker vi informasjonskapsler for samle inn nettstatisikk for å forbedre nettsiden og måle hvor godt den fungerer. Ved å benytte kreftlex.no godkjenner du dette.

Skriv ut

Utredning ved bløtvevssarkom i buk og bekken

Ved utredning av bløtvevssarkom i buk og bekken må pasienten gjennomgå klinisk undersøkelse med sykehistorie, bildediagnostiske undersøkelser og ofte vevsprøvetaking. Hensikten med de ulike undersøkelsene er å fastslå svulstens celletype, utbredelse og eventuell forekomst av spredning for å kunne bestemme videre behandling. 

Kliniske og bildediagnostiske funn ved CT-undersøkelse er bakgrunn for videre henvisning til sarkomsenter. Ved mistanke om sarkom skal pasienten henvises til sarkomsenter uten forutgående vevsprøve eller operasjon. Forsøk på fjerne svulsten og ta en lite gjennomtenkt vevsprøve, kan spre tumorceller og redusere mulighetene for helbredende behandling betydelig.

Ved sarkomsenteret blir bilder og kliniske opplysninger vurdert av en tverrfaglig gruppe av kreftspesialister som bestemmer videre utredning og behandling.

På grunn av den spesielle lokalisasjon oppdages svulstene ofte sent, og de er gjerne store på diagnosetidspunktet.

Bildediagnostiske undersøkelser

  • CT toraks, buk og bekken er standard utredningsmetode ved svulst i buken og på bakre bukvegg, og kan gjøres ved lokalsykehus. De viktigste fordelene ved CT er at undersøkelsen tar kort tid. Innføringen av spiral-CT, og spesielt multislice-teknikk, har forbedret kvaliteten. Røntgen av lungene er som regel tilstrekkelig for å oppdage eller utelukke spredning til lunge.
  • MR. Selv om CT foretrekkes når det gjelder buk og bekken, er MR ypperlig tilleggsundersøkelse for å vurdere svulster i bekkenet. Mens pasientens bevegelser reduserer bildekvaliteten av buken og til en viss grad bakre bukvegg, kan MR av bekken være til stor hjelp for å definere omfanget av sykdommen og for å fastsette riktig diagnose i bekkenet.
  • Ultralyd av buken benyttes lite.

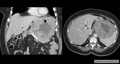
Typiske funn

Bildeeksempler

Skopi

Gastroskopi gjøres for å vurdere svulstens utbredelse i spiserør eller magesekk, finnålscytologi kan tas i samme seanse.

Endoskopisk ultralyd utføres for å undersøke svulstens dybde i mage-og tarmveggen, hvilket lag svulsten utgår fra og infiltrasjon av nærliggende organer.

Celle- og vevsprøver

Ofte fjernes svulsten uten forutgående vevsprøve, for å unngå spredning av tumorceller før operasjon.

Hvis  ultralydveiledet vevsprøve benyttes, gjøres dette med med finnål og/eller grovnål i buk eller bekken. I enkelte tilfeller kan celleprøve med finnål gi tilstrekkelig informasjon for å stille diagnose og bestemmelse av svulsten malignitetsgrad. 

Vevsprøve er nødvendig i følgende tilfeller:

  • Ved svulst av usikker natur der diagnosen er avgjørende for om pasienten skal opereres.
  • Ved behov for å vite svulstens malignitetsgrad før operasjonen.
  • Ved mistanke om svulster som skal ha cellegiftbehandling.

Riktig innstikksted for vevsprøvetaking, og eventuelt behov for ytterligere bildediagnostikk, vurderes på forhånd i hvert enkelt tilfelle i samråd med kirurgen.

Det finnes mange ulike histologiske typer bløtvevssarkom. Noen av de hyppigste er:

Informasjonen du finner i Kreftlex er utelukkende av generell karakter og erstatter ikke kontakt med, eller undersøkelse og behandling, hos autorisert helsepersonell.
Institutt for kreftgenetikk og informatikk © 2026
Lag en lenke til Kreftlex fra din mobil