På kreftlex.no bruker vi informasjonskapsler for samle inn nettstatisikk for å forbedre nettsiden og måle hvor godt den fungerer. Ved å benytte kreftlex.no godkjenner du dette.

Skriv ut

Utredning ved prostatakreft

Ved utredning av prostatakreft må pasienten gjennomgå klinisk undersøkelse, blodprøver, vevsprøvetaking og bildediagnostiske undersøkelser. Hensikten er å anslå svulstens celletype, utbredelse og eventuell forekomst av spredning, for å vurdere hvilken behandling som er den beste for hver enkelt pasient.

Klinisk undersøkelse

Legen undersøker pasienten ved å kjenne på prostatakjertelen med en finger i endetarmen (rektal eksplorasjon). Denne undersøkelsen utføres hvis symptomer eller andre funn gir mistanke om kreft. Prostatakjertelens størrelse og konsistens registreres. Legen kan også undersøke prostatakjertelen ved hjelp av ultralyd.

Blodprøver

Prostataspesifikt antigen (PSA) er et protein som skilles ut fra kjertelcellene i prostata og måles i blodet. Proteinet blandes sammen med sædvæsken og forhindrer koagulasjon av denne. I dag er forhøyet PSA-verdi den vanligste årsak til at prostatakreft oppdages tidlig.

PSA-nivået i blodet øker også ved:

  • godartet forstørrelse av prostata
  • betennelse i prostata
  • blærebetennelse
  • prostatakreft

PSA er ingen kreftmarkør i vanlig forstand, alle friske menn har litt PSA i blodet, men de fleste ondartete prostataceller produserer også PSA, og det fører til økt "lekkasje" av PSA til blodet.

Forhøyete PSA-verdier

Illustrasjon PSA-måleverdier, normal til høy, utredning for prostatkreft.

Normalgrensen for PSA-verdiene kan variere noe ved de ulike sykehusene i Norge.

PSA-testing

PSA-målinger ved generelle helsekontroller av friske menn har vært omdiskutert med ulike holdninger gjennom > 25 år. Det har tidligere, og er fortsatt ikke anbefalt av norske helsemyndigheter, men EU har nå i 2022 besluttet at dette bør kontrolleres. Hos menn bør en beslutning om å foreta en PSA test tas etter at lege har gitt informasjon om potensielle fordeler og ulemper av videre forløp.

PSA test skal alltid tas hos menn hvor rektal eksaminasjon gir mistanke om prostatakreft. PSA-testing brukes også i både behandling og oppfølging av menn med kjent prostatakreft.

Hos menn med påvist genfeil i et gen som gir økt risiko for behandlingstrengende prostatakreft, bør det måles PSA årlig fra 40 års alder. Det samme gjelder for menn uten påvist genfeil, men med en førstegradsslektning med prostatakreft ≤ 60 år, eller flere nære slektninger med prostatakreft uavhengig av alder.

Bildediagnostiske undersøkelser

Skjelettscintigrafi er en enkel undersøkelse som tidligere var basisundersøkelse hvis det var mistanke om spredning av kreft til skjelettet. Denne undersøkelsen er i dag i stor grad erstattet av MR av skjelett som er mer sensitiv for spredning til skjelett. MR har også økende treffsikkerhet for å påvise eventuell spredning til lymfeknuter. CT brukes også av enkelte sykehus. PSMA PET-CT er også tilgjengelig og er delvis tatt i bruk i en del situasjoner.

Vevsprøvetaking

Ved forhøyet PSA og mistanke om prostatakreft må kreftdiagnosen stadfestes gjennom undersøkelser av prostatavevet i mikroskop (histologisk analyse), før behandling iverksettes. Prostata er lett tilgjengelig for vevsprøvetaking fortrinnsvis gjennom området mellom endetarmen og pungen (transperinealt). Det tas oftest inntil 5–10 nålebiopsier fra hver prostatalapp, delvis målrettet mot svulst, delvis systematisk.

Vevsprøvetakingen gjøres billeddiagnostisk veiledet og transperineal prostatabiopsi er standard prosedyre. 

Her kan du lese mer om vevsprøvetaking >>> 

Vevsprøve kan også hentes ut via urinrøret (TUR-P). Ved dette inngrepet, som gjøres i narkose, undersøkes mye mer av prostatavevet. Vev fra de sentrale deler av kjertelen tas ut med en elektrisk slynge via urinrøret. Inngrepet gjøres i narkose eller epiduralbedøvelse.

Her kan du lese mer om TUR-P >>>

Analyse av vevsprøver

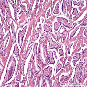
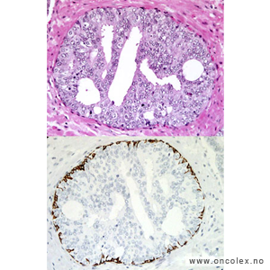
Vevsprøver sendes til histologisk analyse. Analysene kan være avgjørende for hvilken behandling pasienten får. Når patologen undersøker vevsprøvene i mikroskop blir det angitt hvor det er påvist kreft, hvor mange millimeter karsinom det er i hver vevsprøve i forhold til den totale mengde av vevsprøver. Det angis også om det er kribriform vekst, perinevral infiltrasjon og infiltrasjon i fettvev eller sædblærer (vesicula seminalis), hvis dette er kommet med i vevsprøvene. Vevsprøven typebestemmes og graderes (Gleason og/eller ISUP).

95 % av kreftsvulstene i prostata er adenokarsinomer som utgår fra kjertelendestykkene og gangene i prostata. De vokser multifokalt i prostata og gir ofte ingen synlige tumorknuter i mikroskop. Vel 75% av tilfellene oppstår i bakre del av prostata.

Spredning til prostata fra andre organer forekommer også, men er sjelden. Godartete svulster i prostata forekommer, men de er svært sjeldne (leiomyom, inflammatorisk myofibroblastisk tumor, enkeltstående fibrøs tumor).

De fleste kreftsvulster i prostata er av en acinær (bærformet) type og kalles ofte bare prostatakarsinom. Vel 1% av prostatakarsinomene utgjøres av andre varianter som ofte har dårlig prognose (duktalt karsinom, mucinøst karsinom, signetringcellekarsinom og småcellet karsinom). 5% av krefttilfellene i prostata utgjøres av andre typer som utgår fra overgangsepitelet i urinrøret/pars prostatica urethra (urothelialt karsinom), støttevevet (sarkomer) eller lymfoid vev (lymfomer).

Bildeeksempler av vevsprøver

Gleasongraderinger

Ved prostatakreft anvendes et særskilt graderingssystem som ble beskrevet av patologen Donald Gleason i 1966. Dette samsvarer sterkt til prognosen. I motsetning til WHO baserer Gleasongradering/Gleason score (GS) seg kun på kjertlenes arkitektur og cellenes sammensetning, ikke cellenes atypi. De senere årene har ISUP gradering kommet i bruk, det er forsåvidt en forenkling av GS med et tall fra 1-5 hvor ISUP 1 = GS6, ISUP 2 = GS 7a, ISUP 3 = GS7b, ISUP 4 = GS8 og ISUP 5 = GS 9 og 10.

GS <=5 brukes ikke lenger.

 

Gleasons forenklede diagram
 

De mest aggressive svulstene har Gleasongrad 5, score 9–10 = ISUP 5. Gleason score (GS) angis for hver nålebiopsi som summen av den dominerende og sekundære grad. Den sekundære grad oppgis bare dersom den utgjør mer enn 5%.

Tertiær Gleasongrad 4 eller 5 rapporteres selv om de utgjør < 5%. Ved Gleasonscore 7b (4+3) er den dominerende Gleasongrad 4. Disse har dårligere prognose enn Gleasonscore 7a. Svulster med Gleasonscore 6 er lavgradig, Gleasonscore 7 er intermediære, mens Gleasonscore 8–10 er høygradige.

I operasjonspreparater etter kirurgisk fjerning av prostata, der svulstvevet som regel har flere utgangspunkter, angis bare punktet med høyeste Gleasonscore/ISUP og eventuelt tertiær Gleasongrad 4–5.

Aggressive svulster av typen duktalt karsinom, signetringcellekarsinom og småcellet karsinom graderes ikke.

Ved svært små maligne områder (mindre enn 0,5 mm) oppgis ikke Gleasonscore, eventuelt bare Gleasongrad. Gleasonscore rapporteres heller ikke etter hormonbehandling og strålebehandling.

Informasjonen du finner i Kreftlex er utelukkende av generell karakter og erstatter ikke kontakt med, eller undersøkelse og behandling hos autorisert helsepersonell.
Institutt for kreftgenetikk og informatikk © 2025
Lag en lenke til Kreftlex fra din mobil