På kreftlex.no bruker vi informasjonskapsler for samle inn nettstatisikk for å forbedre nettsiden og måle hvor godt den fungerer. Ved å benytte kreftlex.no godkjenner du dette.

Skriv ut

Utredning ved nyrekreft

Ved utredning av nyrekreft må pasienten gjennomgå klinisk undersøkelse, bildediagnostiske undersøkelser og blodprøvetaking.

Klinisk undersøkelse

Tidligere ble diagnose ofte stilt på bakgrunn av symptomer på nyrekreft, men i dag stilles diagnosen oftere på bakgrunn av tilfeldige funn fra ultralyd eller andre bildediagnostiske undersøkelser av buken.

Ved mistanke om nyrekreft tar legen utgangspunkt i pasientens sykehistorie og gjør en generell klinisk undersøkelse. Fysisk undersøkelse har en begrenset rolle i diagnostiseringen av nyrekreft, siden de fleste svulstene er så små at de ikke vil kunne kjennes. Undersøkelsen kan være nyttig for å identifisere oppfylning/kul i buken, hovne lymfeknuter i halsen, ødemer i begge bein og nytilkommet åreknuter i venene i pungen hos menn. Slike funn vil alltid trenge ytterligere undersøkelser.

En undersøkelse vil også være av betydning i forhold til å avdekke samtidige sykdommer hos pasienten, og for å vurdere pasientens allmenntilstand (performance status), noe som har betydning for forventet utvikling av sykdommen og valg av behandling.

Bildediagnostiske undersøkelser

For å bestemme svulstens utbredelse og om det kan foreligge spredning til lymfeknuter eller fjernspredning, er bildediagnostiske undersøkelser helt avgjørende. Nyretumor diagnostiseres hovedsaklig ved ultralyd av buken og CT.

  • Ultralyd er oftest innledende undersøkelse. Ultralydfunn som viser solide oppfylninger i nyrene skal undersøkes ytterligere med CT av nyrer og urinveier med kontrast. Dette sikrer diagnostiseringen av nyrecellekarsinom. Det gir samtidig informasjon om den andre nyrens funksjon og oppbygning, som er viktig i forhold til operasjonsplanlegging. Moderne CT gir svært god informasjon vedrørende eventuelle tumortromber (blodpropp) i venesystemet, og arterier kan fremstilles (arteriogram) til nytte i planlegging av operasjon før en nyrereseksjon.
  • CT av buken gir opplysninger om primærtumors omfang med eventuell utbredelse utenfor nyrene og gir informasjon om forstørrede lymfeknuter, innvekst i naboorganer som binyrer og lever. For å vurdere eventuell spredning til lungene er CT av toraks er den mest nøyaktige undersøkelsen. Gjøres ikke dette, må rutinemessig røntgen av toraks utføres for å vurdere eventuelle spredningssvulster.
  • MR er ikke førstevalg i diagnostikken av nyrekreft. Undersøkelsen har mange av de samme mulighetene som CT, og brukes hovedsaklig for pasienter med allergi for intravenøst kontrastmiddel, nyresvikt, samt enkelte tilfeller av lokalavansert sykdom med eller uten innvekst i vene. MR gir mulighet for å vurdere blodpropper fra svulst i hovedvenen (vena cava inferior), samt uklassifiserte nyreoppfylninger.

Om kliniske funn, laboratoriefunn og/eller symptomer gir grunnlag for det (for eksempel ved symptomer på spredningssvulster) må andre diagnostiske prosedyrer gjennomføres. Skjelettscintigrafi, CT eller MR av hjernen kan da være aktuelt. Helkropps-MR kan være et alternativ til scintigrafi ved mistanke om spredning ved nyrekreft. 

Celle- og vevsprøvetaking

Nyrene er lett tilgjengelig for celle- og vevsprøvetaking gjennom huden (veiledet med ultralyd eller CT), men gjøres som regel ikke før operasjon. Grunnen til det er faren for å spre kreftceller i kanalen hvor nålen har vært, slik at spredningssvulster kan plantes. Vevsprøver tas istedet etter at svulsten er fjernet kirurgisk.

Analyse av celle- og vevsprøver

Celle- og vevsprøver sendes til cytologisk og histologisk analyse. Ved en slik undersøkelse ser en patolog på prøvematerialet under mikroskop, og ulike typer celler blir identifisert og beskrevet. Analysene kan være avgjørende for hvilken behandling pasienten får.

Tilleggsundersøkelser som immunhistokjemi og karyotyping kan underbygge diagnosen, men standard histologisk undersøkelse er vanligvis tilstrekkelig for å stille diagnosen. Immunhistokjemi og karyotyping gjøres derfor ikke rutinemessig.

De fleste nyresvulstene utgår fra nyretubuli, kanalene som fører urinen fra glomeruli til nyrebekkenet, og de fleste som diagnostiseres er ondartede.

Bildeeksempler

Godartede svulster

Noen nyrecyster kan være ondartede. Ut i fra CT-bildene kan man klassifisere cystene i såkalte Bosniak-kategorier fra 1-4. Ved kategori 4 er cysten mest sannsynlig ondartet. Ved kategori 3 og 4 og anbefales operasjon.

Papillære adenomer er blant de hyppigste godartete nyresvulstene og kan påvises hos 10–40 % av voksne som blir obdusert. Blir disse større enn 5 mm skal de klassifiseres som ondartede. Cytogenetisk undersøkelse har vist at disse kan ha tap av spesifikke kromosomer.

Onkocytom utgjør 3–5 % av nyresvulster hos voksne. De oppdages oftest tilfeldig i forbindelse med røntgendiagnostikk for andre tilstander. Onkocytom er velavgrenset med solid, lysebrun snittflate og det kan være arrvev sentralt og blødninger. De kan bli flere cm store og hos 5–6 % forekommer flere slike svulster i en eller begge nyrer. Cytogenetisk undersøkelse har vist at disse ofte har en blanding av normal og abnorm karyotype. I vevsprøver (biopsier) kan oncocytom være vanskelig å skille fra kromofob nyrekreft. Man vil derfor oftest anbefale å fjerne hele svulsten for å få en sikker diagnose.

Metanefrisk adenom og mesenkymale svulster som utgår fra støttevevet i nyrene (for eksempel leiomyom, angiomyolipom) er mindre vanlig. Det forekommer også godartede blandingssvulster som består av både en epitelial og mesenkymal komponent.

Ondartede svulster - nyrecellekarsinomer

Nyrecellekarsinomene inndeles i forskjellige undergrupper basert på avvik i kromosomene (lysmikroskopiske og cytogenetiske funn).

Nyrecellekarsinom av klarcellet type er hyppigst og utgjør cirka 75 %. Cytogenetisk undersøkelse har vist flere kromosomavvik som fører til mutasjon i VHL-genet. Prognosen avhenger av svulstens utbredelse. Svulster som er under 7 cm og respekterer nyrekapselen har god prognose (5-års overlevelse: 90 %). Svulster som bryter gjennom nyrehinnen (Gerotas fascie) eller har spredd seg til lymfeknuter, har svært dårlig prognose (5-års overlevelse: 10-20 %).

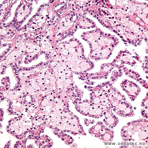
Nyrecellekarsinom av papillær type utgjør cirka 10–15 %. Disse ble tidligere inndelt i type I og type II basert på lysmikroskopiske funn, men i den nye WHO klassifikasjonen fra 2022 er disse ikke lenger adskilt. Nyrecellekarsinom av kromofob type utgjør cirka 5–10 % og har noe bedre prognose enn de vanligste klarcellede nyresvulstene.

Molekylært definerte nyrecellekarsinomer

Dette er en ny gruppe nyrekreft som har kommet til i den nye WHO klassifikasjonen fra 2022. Denne gruppen består av flere typer nyrekreft hvor diagnosen stilles på bakgrunn i at svulstvevet har helt spesifikke molekylære endringer (endringer i DNA i svulstvev).

Eksempler på slike entiteter er:

  • Translokasjonsnyrecellekarsinom – eks. translokasjon i TFEB eller MITF gen (eller andre)
  • FH (fumarat hydratase) defekt nyrecellekarsinom –som har en genfeil i genet som kodet for enzymet FH (fumarat hydratase) (kan og være arvelig)
  • SMARCB1- defekt nyrecellekarsinom. Aggressive svulster som ligner på medullær nyrecellekreft – assosiert med sigdcelleanemi (Tap av SMARCB1 genefunksjon)

Andre typer ondartede nyresvulster

  • Cirka 7 % av nyrecellekarsinomene kan ikke klassifiseres nærmere.
  • Cirka 1 % av nyrecellekarsinomene utgjøres av sjeldne varianter som enten er meget aggressive, som nyrecellekarsinom av samlerørstype og medullært (i margen) nyrecellekarsinom. Dette er veldig hurtigvoksende svulster som behandles med cytostatika. 
  • Ondartede svulster utgått fra støttevev kalles sarkomer, for eksempel leiomyosarkom utgår fra muskulatur, angiosarkom fra blodkar.
  • Hos barn kan det oppstå særskilte ondartede svulster som Wilms tumor (nefroblastom) eller svulster assosiert med arvelige syndromer.

Les mer om ulike svulster i nyrene
Informasjonen du finner i Kreftlex er utelukkende av generell karakter og erstatter ikke kontakt med, eller undersøkelse og behandling, hos autorisert helsepersonell.
Institutt for kreftgenetikk og informatikk © 2026
Lag en lenke til Kreftlex fra din mobil