På kreftlex.no bruker vi informasjonskapsler for samle inn nettstatisikk for å forbedre nettsiden og måle hvor godt den fungerer. Ved å benytte kreftlex.no godkjenner du dette.

Skriv ut

Utredning ved peniskreft

Ved utredning av kreft i penis må pasienten gjennomgå klinisk undersøkelse, bildediagnostiske undersøkelser og celle-/vevsprøvetaking. Hensikten er å identifisere svulsten og kartlegge utbredelse og eventuell spredning av svulsten, samt svulstens celletype, for å kunne bestemme behandling.

50 % av pasientene har hatt symptomer i ett år før diagnosen stilles og behandling kan starte. Mange tidlige symptomer likner godartede lesjoner som lett kan føre til forsinkelser i diagnosen.

Klinisk undersøkelse

Legen gjør en klinisk undersøkelse av pasienten med vurdering av modersvulst, og svulstens størrelse og dybdevekst beskrives. 

Legen kjenner videre på lymfeknuter i lyskene. Forstørrede lyskekjertler kan være hovne og ømme. Siden spredning av peniskreft skjer først og fremst via lymfesystemet til lyskelymfekjertler og videre til bekkenlymfekjertler er det viktig at dette diagnostiseres så tidlig som mulig, da det har avgjørende betydning for helbredelsesraten.

Bildediagnostiske undersøkelser

For å vurdere eventuell spredning til lymfeknuter i bekken gjøres CT-undersøkelse.

Celle- og vevsprøvetaking

Ved forandringer på penis som ser godartede ut, der kortvarig konservativ behandling ikke har effekt, tas alltid vevsprøver. Vevsprøven bør være så dyp at man kan uttale seg om hvor dypt svulsten vokser (T-stadium). En slik stansevevsprøve kan tas av alle leger. Hvis det foreligger forhudsbetennelse, fjernes forhuden kirurgisk samtidig med vevsprøven.

Ultralyd av lymfeknuter med celleprøvetaking (FNAC) gjøres før planlagt kirurgi.

Vaktpostlymfeknute (sentinel node) for penis er beliggende nær forgreningen av store blodkar i lysken. Det blir utført vevsprøvetaking av vaktpostlymfeknute med isotoper (dynamic sentinel node biopsy). Metoden er kirurgisk minimal og har lite komplikasjoner. Vevsprøver fra vaktpostlymfeknutene tas vanligvis i forbindelse med kirurgisk fjerning av modersvulsten. Foreligger kreft i vevsprøvene gjøres en utvidet fjerning av lymfeknuter (lymfeknutetoalett).

Analyse av celle- og vevsprøver

Celle- og vevsprøver sendes til cytologisk eller histologisk analyse. Analysene kan være avgjørende for hvilken behandling pasienten får.

Patologene mottar små vevsprøver, resektater og amputasjoner fra penis som undersøkes med det blotte øye (makroskopisk) og under mikroskop (mikroskopisk).

I operasjonspreparater vurderes størrelse/tykkelse av tumor, hvor dypt tumor infiltrerer og om kanten rundt den fjernede tumor er fri for tumorceller. 

Bortsett fra kjønnsvorter (kondylomer) er de godartete svulstene sjeldne. De fleste ondartete svulstene utgår fra plateepitelet på penishodet (glans) eller i forhuden, men kan også utgå fra støttevev (sarkomer) og lymfoid vev (lymfom). Spredningssvulster fra andre organer til penis forekommer, men er svært sjelden.

Godartede svulster

Kjønnsvorter (Condyloma Acuminata) er svært utbredt og forekommer hos 5-10% av seksuelt aktive yngre mennesker. De er som regel små (noen få mm opptil et par cm) og lokalisert på penishodet, i urinrør eller på forhuden. De forårsakes av lavrisiko HPV-typer (6 eller 11), som overføres ved seksuell kontakt. Det er ikke dokumentert at disse kan utvikles til ondartede svulster. Kjempekondylomer (Buschke-Løwenstein tumores) er svært sjelden, de forårsakes også av HPV. De er ofte større enn 5 cm, og kan under mikroskop være vanskelig å skille fra enkelte varianter av plateepitelkarsinomer med høy tumorgrad. Disse må derfor fjernes radikalt, men de kan komme tilbake. Godartede svulster som utgår fra støttevevet forekommer, men de er også sjeldne (for eksempel hemangiom, lymfangiom og leiomyom).

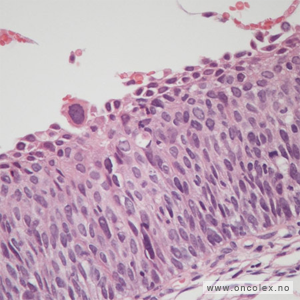
Forstadier

Man mener at fleste subtyper av peniskarsinom utvikles via forstadier i plateepitelet på forhuden og glans. Det som tidligere ble klassifisert om dysplasier og karsinom in situ i platetepitelet og atypisk plateepitelhyperplasi skal nå klassifiseres som Penil Intraepitelial Neoplasi (PeIN). PeIN graderes ikke.

Det er to typer av PeIN, den ene er assosiert med HPV og kalles nå udifferensiert PeIN som svarer til det som tidligere ble kalt moderat/grov dysplasi og carcinoma in situ. Udifferensiert PeIN kan inndeles i en kondylomatøs og basaloid type men dette har ingen klinisk betydning, begge er assosiert med høyrisiko HPV infeksjon. Forstadier som ikke er assosiert med HPV men ofte Lichen Sclerosus (tidligere kalt atypisk plateepitelhyperplasi) klassifiseres nå som differensiert PeIN. Ved tvilstillfeller kan patologene bruke immunhistokjemi og HPV analyse for korrekt klassifikasjon av forstadiene.

Differensiert PeIN har minimal atypi og er negativ for p16 og  positiv for p53 basalt og parabasalt. Udifferensiert PeIN har grov atypi i hele epitelets tykkelse og er kraftig positiv for p16 i hele epitelets tykkelse. Immunhistokjemisk undersøkelse for p16 er en surrogatmarkør for høyrisiko HPV infeksjon, rimeligere å utføre enn PCR.

Bowenoid papulose, Erytroplasi Queyrats og Bowens sykdom er kliniske diagnoser der de lysmikroskopiske funn er identisk med udifferensiert PeIN. Bowenoid papulose er forårsaket av HPV, og opptrer hos yngre, seksuelt aktive menn (16-35 år), og går oftest tilbake av seg selv i løpet av et år uten behandling. Erytroplasi Queyrats og Bowens sykdom opptrer hos eldre menn (over 50 år) og er i større grad assosiert med kreftutvikling (5-10%). Disse lesjonene skal behandles. Det som tidligere har vært klassifisert som lett dysplasi og HPV forandringer blir nå klassifisert som flatt kondylom.

Ondartede svulster

Mer enn 95% av de ondartede svulstene er plateepitelkarsinomer. De utgår oftest fra plateepitelet i slimhinnen på penishodet, i forhuden eller nederste del av penishodet (sulcus coronarius). Det er mer sjelden at disse svulstene utgår fra huden på forhuden eller penisskaftet. Det er flere undergrupper med ulik prognose. Den vanligste typen er forhornende plateepitelkarsinom, disse graderes som høyt, middels og lite differensiert i henhold til WHO etter grad av kjerneatypi. De øvrige variantene graderes som regel ikke; basaloid karsinom, kondylomatøs (likner på kondylom) karsinom, verrukøst (vorteliknende) karsinom, papillært karsinom og sarkomatoid (spolcellet) karsinom.

Blandingformer av de ulike typene forekommer også. Basaloid karsinom og sarkomatoid karsinom er aggressive svulster med dårlig prognose. Høyest forekomst av HPV finner man i basaloid karsinom og kondylomatøs karsinom (cirka 70%). Andre ondartede svulster er svært sjeldne (basalcellekarsinom), Paget sykdom, melanom (føflekkreft), angiosarkomKaposis sarkom (bløtdelssvulst), leiomyosarkom).

Les mer...

Bildeeksempler

Informasjonen du finner i Kreftlex er utelukkende av generell karakter og erstatter ikke kontakt med, eller undersøkelse og behandling, hos autorisert helsepersonell.
Institutt for kreftgenetikk og informatikk © 2026
Lag en lenke til Kreftlex fra din mobil