For å endre tekststørrelsen, hold Ctrl-tasten nede (Cmd-tasten på Mac) og trykk på + for å forstørre eller - for å forminske, 0 for å tilbakestille.
Skriv ut
Utredning ved kreft i kjønnslepper
Ved utredning av kreft i kjønnslepper må pasienten gjennomgå klinisk undersøkelse, bildediagnostiske undersøkelser og vevsprøvetaking. Hensikten med de ulike undersøkelsene er å anslå svulstens celletype, utbredelse og eventuell forekomst av spredning for å kunne bestemme videre behandling.
Klinisk undersøkelse
Som basis for videre utredning gjør legen gynekologisk med inspeksjon av området og palpasjon av lymfeknuter i lysken. Videre utføres kolposkopi av kjønnslepper, skjede og livmorhals. Det tas celleprøve fra livmorhals og vevsprøver av mistenkelige lesjoner i kjønnsleppene.
Bildediagnostikk
Analyser av celle- og vevsprøver
Analyse av celle- og vevsprøver sendes til cytologisk/histologisk analyse. Analysene kan være avgjørende for hvilken behandling pasienten får.
Godartete svulster
Kjønnsvorter (Condyloma Accuminatum) er hyppig. De kan variere i størrelse fra få millimeter til flere cm store svulster (de kalles da kjempekondylom). Store kondylomer bør fjernes kirurgisk for å utelukke varianter av høyt differensiert plateepitelkarsinom.
Godartete svulster kan utgå fra hudadnexstrukturer og bløtvev (lipom, fibroepitelial polypp, leiomyom, granulærcelletumor, cellerikt angiofibrom, og angiomyofibrom). Aggressivt angioangiomyxom har aggressivt forløp med stor risiko for tilbakefall. Pasienter med slike sulster må henvise til spesialavdeling med kompetanse i behandling av slike sjeldne tilstander uten forutgående kirurgisk inngrep ved lokalsykehuset.
Forstadier
Plateepitelkarsinomer i vulva utvikles via forstadier som kalles vulva intraepitelial neoplasi (VIN). Det finnes to typer som behandles forskjellig og har forskjellig etiologi.
Ondartete svulster
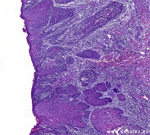
85 % av ondartet svulster i kjønnslepper er plateepitelkarsinom. Dette karsinomet er ofte høyt differensiert og keratiniserende. Andre mindre vanlige typer av epiteliale karsinomer er Pagets sykdom og adenokarsinom utgått fra Bartholinske kjertler.
Ondartet føflekk utgjør 10 % av tilfellene kreft i kjønnslepper.
 |
 |
| Resektat av ytre kvinnelige kjønnsorgan med sårdannende tumor |
Lysmikroskopi av tumoren fra bildet til venstre. Dette er et infilterende plateepitelkarsinom. |