På kreftlex.no bruker vi informasjonskapsler for samle inn nettstatisikk for å forbedre nettsiden og måle hvor godt den fungerer. Ved å benytte kreftlex.no godkjenner du dette.

Skriv ut

Utredning ved leukemi

Ved utredning av leukemi må pasienten gjennomgå en klinisk undersøkelse, blodprøvetaking, benmargsprøvetaking og røntgen av lungene. Hensikten med de ulike undersøkelsene er å identifisere om det er kreftceller i benmarg, kartlegge spredning utenfor benmargen (i blod og eventuelt andre organer) og veksthastighet av sykdommen.

Akutt leukemi debuterer gjerne forholdsvis akutt med utvikling av symptomer over få dager til uker, av og til måneder. Ubehandlet har sykdommen vanligvis et stormende forløp og pasienten kan dø av infeksjon eller blødning i løpet av uker til få måneder.

Kronisk leukemi har en mer snikende debut enn akutt leukemi, og oppdages ganske ofte tilfeldig hos pasienter som er til rutinemessig legekontroll eller undersøkes og behandles for andre sykdommer.

Ved mistanke om akutt leukemi hos en pasient under 60–70 år skal pasienten overflyttes til regionsykehus for utredning og behandling.

Klinisk undersøkelse

Legen gjør en generell medisinsk undersøkelse av pasienten med vekt på unormale forandringer, som hovne lymfekjertler/lymfekjertelsvulst og forstørret lever/milt. Det registreres om det har vært vekttap, feber, nattesvette eller andre allmennsymptomer.

Blodprøver kan svekke eller styrke mistanken om leukemi. Typisk ved leukemi er høye verdier av hvite blodceller og lave verdier av røde blodceller/blodplater. 

Blod- og benmargsprøver

Hjørnestenen i diagnostikken er undersøkelse av utstryk av blod og benmarg under mikroskop, hvor patologen ser på cellenes oppbygning og utseende.

Utstryk av blod undersøkes i mikroskop. Det gjøres en telling av ulike typer blodceller i en viss mengde væske. Det registreres samtidig om cellene er modne eller ikke, og om det er avvikende verdier.

Ved mistanke om leukemi gjøres alltid benmargsprøve. Cellene fra benmargen (aspirat) blir undersøkt i mikroskop. Utstryk av benmargsmaterialet ses på under mikroskop, med telling av ulike typer blodceller. Modne/umodne blodceller og eventuelle avvikende verdier registreres. Eventuelt tas en vevsprøve fra benmarg dersom det er vanskelig å få et representativt aspirat. Vevsprøver kan i visse tilfeller også gi verdifull tilleggsinformasjon.

Kromosom- og immunologiske undersøkelser

Eventuelle kromosomavvik i leukemicellene kan påvises med en vanlig kromosomundersøkelse i mikroskop (cytogenetisk undersøkelse). Kromosomavvik kan ha betydning for leukemicellers utvikling og vekst, og dette er viktig å avdekke. Kromosomavvik kan være genmateriale som skifter plass og mangler eller endringer på kromosomene.

Undersøkelsene av blod- og benmargsutstryk suppleres med immuncytokjemiske og immunfenotypiske undersøkelser i tilfeller der eksakt diagnose og typebestemming av leukemicellene er avgjørende for korrekt behandling. Dersom behandlingen er intensiv og potensielt helbredende er en eksakt diagnose helt avgjørende for pasientens fremtid.

Immuncytokjemisk undersøkelse av benmargsceller og i økende grad andre genundersøkelser (molekylærgenetiske undersøkelser) er viktig i vurderingen av pasientens prognose og behandlingsvalg.

Ryggmargsprøve

Hvis det er mistanke om leukemi i sentralnervesystemet (ryggmarg/hjerne) tas prøver av ryggmargsvæske med spinalpunksjon. Eventuelt tas prøve når det gis forebyggende behandling med cellegift i ryggmargsvæske for å unngå spredning til sentralnervesystemet.

Utredning ved akutt myelogen leukemi (AML)

Akutt myelogen leukemi deles inn i 7 undergrupper (M0-M7). Gruppeinndelingen bygger på undersøkelse av blod- og benmargsutstryk i mikroskop. Undersøkelsen kan støttes av immunfenotypingkromosom- og genundersøkelser.

Det er viktig å sikre diagnosen og bestemme hvilken undergruppe pasienten tilhører.

Den sjeldne undergruppen M3 (akutt hypergranulær promyelocyttleukemi) er spesielt viktig å identifisere, fordi den ofte er ledsaget av koagulasjonsforstyrrelser (DIC), som kjennetegnes av reduksjon av antall blodplater i blodet (og økt blødningstendens) på grunn av utbredt dannelse av blodpropper i kroppens blodårer. Denne typen leukemi krever spesiell behandling. Behandling startes straks begrunnet mistanke om denne diagnosen er reist. Ved korrekt behandling er prognosen langt bedre enn for de andre undergruppene.

Typen kromosomforandringer i leukemiceller på diagnosetidspunktet har stor praktisk betydning for behandling av pasienter, særlig de under 60 år. Ved funn av ugunstige kromosomavvik i leukemicellene kan tidlig søk etter vevstypeidentisk stamcellegiver for stamcelletransplantasjon være aktuelt.

Benmargsprøve er helt nødvendig for å stille diagnosen.

Utredning ved akutt lymfatisk leukemi (ALL)

Akutt lymfatisk leukemi (ALL) er ofte meget rasktvoksende, og rask utredning med behandlingsstart i løpet av 1–2 døgn kan være vesentlig for å redde pasienter med stor svulstmasse.

For behandlingsvalget er det helt avgjørende med en mest mulig fullstendig karakterisering av tumorcellene.

ALL deles inn i 3 undergrupper (L1-L3). Gruppeinndelingen bygger på undersøkelse av blod- og benmargsutstryk hvor man ser på cellenes utseende og oppbygning (morfologi) under mikroskop. Dette støttes av immunfenotypingkromosom- og genundersøkelser.

Hos alle pasienter testes benmargsprøve og blod for fusjonsgenet BCR–ABL og andre ugunstige kromosomavvik. Philadelphiakromosomet oppstår på grunn av at genmateriale på kromosom 9 og 22 bytter plass, og fusjonsgenet BCR-ABL dannes. Tilstedeværelsen av dette fusjongenet (cirka 20 % av pasientene) gir dårlig prognose ved bruk av vanlig cellegiftbehandling, og påvisning av BCR-ABL er derfor viktig informasjon i forhold til videre behandling.

ALL og lymfoblastisk lymfom har store likhetstrekk. Begge sykdommene utgår fra rasktvoksende lymfatiske celler med blastutseende. Tilstander med mer enn 25 % lymfoblaster i benmarg kalles akutt lymfatisk leukemi. Dette gjelder også selv når det foreligger lymfeknutesvulster.

Burkitts lymfom/leukemi (L3) utgår fra mer modne B-lymfocytter og trenger spesiell behandling. Behandlingen avgjøres av typen svulstceller, og ikke av om sykdommen manifesterer seg som leukemi eller lymfom.

Les mer om ALL

Omtrent 95 % av alle typer av akutt lymfatisk leukemi (unntatt B-celle) har forhøyet deoxylnucleotidyltransferase (TdT). Dersom denne markøren ikke kan påvises ved undersøkelse, er diagnosen akutt lymfatisk leukemi tvilsom.

Benmargsprøve er helt nødvendig for å stille diagnosen.

Utredning ved kronisk myelogen leukemi (KML)

Lysmikroskopibilde av blodutstryk fra pasient med KML. Viser få eller ingen blaster og alle modningsstadier av den myeloide cellerekken.

Kronisk myelogen leukemi (KML) er en klonal myeloproliferativ stamcellesykdom som kjennetegnes ved økning i antallet modne og umodne granulocytter i sirkulerende blod, benmarg og forstørret milt.

Sykdommen bekreftes ved tilstedeværelse av Philadelphiakromosom ved kromosomanalyse av benmarg/blod og ved påvisning av BCR-ABL-fusjonsproteinet i blod (produkt av BCR-ABL-fusjonsgenet). Dette kromosomavviket er antagelig nødvendig og tilstrekkelig for å utvikle kronisk myelogen leukemi. Fusjonsgenet BCR-ABL er alltid tilstede ved kronisk myelogen leukemi slik sykdommen er definert.  

 

Proteinet ABL er en tyrosinkinase (enzym) som når den avleses fra kromosom 9, er under "streng kontroll". Når genet flyttes til kromosom 22, finnes ikke denne "selvhemmende" effekt på tyrosinkinaseaktiviteten. Konsekvensen blir uhemmet tyrosinkinaseaktivitet, hvor mange signalveier i cellene som er viktige for celledeling, celledifferensiering (utvikling), adhesjon (sammenklebing av celler), kontrollert celledød og genavlesningsregulering påvirkes. BCR-ABL ved akutt lymfatisk leukemi har høyere tyrosinkinaseaktivitet enn den typen som er vanligst ved kronisk myelogen leukemi. Det kan virke som grad av tyrosinkinaseaktivitet er av betydning for sykdommens aggressivitet. Andre kromosomforandringer kan også ha betydning for hvilken type behandling pasienten får.
Les mer om proteinet ABL

Mange KML-pasienter diagnostiseres i dag før de har rukket å utvikle symptomer, i forbindelse med helseundersøkelser eller rutinekontroller av blodverdiene. Unormalt økt antall hvite blodceller (modne og mindre modne granulocytter) og forstørret milt gir mistanke om sykdommen.

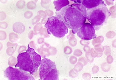
Utredning ved kronisk lymfatisk leukemi (KLL)

Lysmikroskopibilde av blod fra pasient med KLL. Viser kjerneholdige celler med klumpete kromatin (kromosommateriale).

Kronisk lymfatisk leukemi har oftest en svært snikende debut, og mistanke om sykdommen oppstår hos pasienter som har vedvarende høyt antall lymfocytter i blodet, eventuelt i kombinasjon med lavt antall røde blodceller (anemi), lavt antall blodplater, forstørrede lymfeknuter og/eller allmennsymptomer med vektttap, tilbakevendende feber og nattesvette. Ofte har ikke pasientene symptomer på diagnosetidspunktet og sykdommen oppdages tilfeldig i forbindelse med legeundersøkelser av andre grunner.

Tre av fire pasienter er uten symptomer når diagnosen stilles. Gjennomsnittlig alder ved diagnose er 72 år.

Sykdommen er karakterisert ved opphopning av små modent utseende lymfocytter i blod, benmarg og lymfoide organer.

Tidligere var det vanlig å benytte betegnelsen kronisk lymfatisk leukemi hos de aller fleste pasientene hvor sykdommen viste seg med vedvarende unormalt høyt antall lymfocytter i blodet med modent utseende. I majoriteten av tilfellene passer dette med hvordan vi bruker betegnelsen også i dag, men med introduksjon av nye diagnostiske metoder, skiller man mellom KLL og leukemiske former av non-Hodgkin lymfom (hvor det samtidig ses økning av lymfocytter i blodet). Det er også vesentlig å skille mellom leukemier av B-celle- og T-celletype.
Les mer om KLL

Sikker diagnose krever som et minimum unormalt forhøyning av antall lymfocytter i blodet, karakteristisk utseende ved lysmikroskopisk undersøkelse av blodutstryk og karakteristisk utseende ved immunfenotypisk undersøkelse. Benmargsprøve er ikke nødvendig for å stille diagnosen, men anses som viktig for behandling.

Nærmere 80 % av pasientene har lymfeknutesvulst når diagnosen stilles, og omtrent halvparten av pasientene har forstørret milt.

Ulike typer kromosomavvik er av betydning for prognosen.

Informasjonen du finner i Kreftlex er utelukkende av generell karakter og erstatter ikke kontakt med, eller undersøkelse og behandling, hos autorisert helsepersonell.
Institutt for kreftgenetikk og informatikk © 2026
Lag en lenke til Kreftlex fra din mobil