På kreftlex.no bruker vi informasjonskapsler for samle inn nettstatisikk for å forbedre nettsiden og måle hvor godt den fungerer. Ved å benytte kreftlex.no godkjenner du dette.

Skriv ut

Utredning ved hudkreft (non melanom)

Diagnosen stilles ved klinisk undersøkelse og mikroskopisk bekreftelse (verifisering). Ved mistanke om spredning benyttes CT, MR og andre bildediagnostiske utredninger som PET og skjelettscintigrafi.

Klinisk undersøkelse

Undersøkelsen skal utføres med godt lys og lesjonen:

  • inspiseres
  • kjennes på
  • strekkes
  • måles
  • tegnes inn på en kroppsskisse
  • eventuelt fotograferes

Det gjøres en klinisk undersøkelse av nærliggende lymfeknuter.

Vevsprøver

  • Stansebiopsi - en liten prøve av huden stanses ut med en hul nål
  • Avskrap
  • FNAC - Uthenting av vevsprøve ved hjelp av en tynn, hul nål
  • Eksisjonsbiopsi - det pigmenterte området fjernes med liten margin

Metastaseutredning gjøres dersom der er:

  • mistanke om spredning
  • ved spesielle tilfeller som for eksempel merkelcellekarsinom, en sjelden men aggressiv småcellet kreftutvikling i hårsekk eller hud. 

Den mikroskopiske diagnostikken av de vanligste hudkrefttypene, basalcellekarsinom og plateepitelkarsinom, er ofte enkel for patologene. Det finnes forstadier til plateepitelkarsinom som kan oppdages tidlig, avhengig av beliggenhet. 

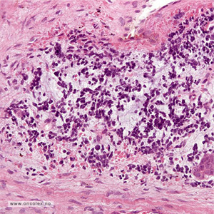
Bildeeksempler:

Det er viktig at operajonspreparatene håndteres og undersøkes slik at man kan vurdere reseksjonsrender, at tumor er fjernet med margin. Dette kan i visse tilfeller være et omfattende arbeid. Patologen kan, i tillegg til å vurdere om tumor er radikalt fjernet, også vurdere om basalcellekarsinomet er av en aggressivt voksende type.

Cytologisk undersøkelse av avskrap fra tumor kan også brukes når man mistenker basalcellekarsinom. Dette er en rask og enkel måte å diagnostisere denne tumortypen og brukes ofte i kombinasjon med fotodynamisk behandling.

Kaposis sarkom utgår fra blodårer og som i en tidlig fase mikroskopisk kan ligne på en godartet kartumor (hemangiom). Det er derfor noen ganger nødvendig å ta flere vevsprøver for å finne helt karakteristiske forandringer for denne krefttypen. Mikroskopisk ses spolformete celler og spatier med røde blodlegemer.

Merkelcellekarsinom (nevroendokrint karsinom i hud) utgår fra neuroendokrine celler i hud. Mikroskopisk er dette en småcellet tumor hvor immunhistokjemi ofte brukes for å sikre diagnosen. Finnålspunksjon kan også brukes for å diagnostisere denne tumortypen.

Hudadnexsvulster utgår fra hårsekkceller, svettekjertler og talgceller i hud. Det er mange varianter av disse tumorer og det kan i enkelte tilfeller være vanskelig å skille mellom benigne og maligne typer.

Informasjonen du finner i Kreftlex er utelukkende av generell karakter og erstatter ikke kontakt med, eller undersøkelse og behandling, hos autorisert helsepersonell.
Institutt for kreftgenetikk og informatikk © 2026
Lag en lenke til Kreftlex fra din mobil