Utskriftsdato ()

Utvendig (ekstern) strålebehandling ved kreft i spiserør

Standard utvendig (ekstern) strålebehandling i kombinasjon med cellegiftbehandling gis ved kreft i spiserør når pasienten ikke er operabel. Hensikten med strålebehandlingen er å fjerne tumor og kurere sykdommen. Ved helbredende strålebehandling er det viktig at planlagt behandlingstid overholdes.

Utvendig strålebehandling kan også brukes i kombinasjon med innvendig (endokavitær) strålebehandling (hyperfraksjonær behandling). Dette gjøres når pasienten ikke tåler cellegift på grunn av dårlig allmenntilstand eller har for lave blodverdier.

 Ved lindrende behandling er målet å redusere tumorstørrelse og dempe symptomer forårsaket av svulsten.

Forberedelser

Foto av en pasient i CT-maskin

Pasienten ligger på et wingboard med armene opp langs hodet.

Foto av en pasient i CT-maskin

Det gjøres en CT undersøkelse for bildeopptak i en dedikert CT-maskin, helst med kontrast./p>

 

Strålefeltet innstilles basert på  CT bilder av området.

Bilder til planlegging tas på simulatorenheten. Det er viktig at pasienten ikke har smerter eller er urolig slik at hun/han klarer å ligge stille på ryggen den tiden som er nødvendig (20-30 minutter). Eventuelt gis smertestillende og/eller beroligende medikamenter. Undersøkelsesbordet er flatt med kun en tynn madrass. Pasienten får en standardisert pute under knærne og stor pute under hodet. Armene holdes opp langs hodet. Dette leiet er nødvendig siden det er identisk med det som brukes på behandlingsapparatene.

Intravenøs kontrast brukes rutinemessig. Pasienter med diabetes som bruker medikament av metformin-type, må ikke ta disse de siste 2 døgn før planleggingen. Inntegning, utarbeidelse av strålefelt, nødvendige justeringer og overføring av data og bilder til behandlingsapparatet tar vanligvis 10-12 dager.

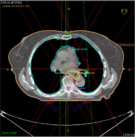
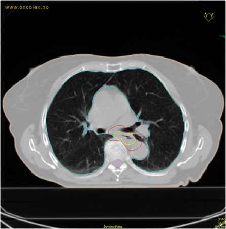
Målvolum

Skisse over hvordan strålefeltet planlegges:

Illustrasjon for målvolum
  • GTV (Gross Tumor Volume): Identifisert tumor.
  • CTV (Clinical Target Volume) GTV + omkringliggende vev hvor det kan væremikroskopisk spredning.
  • ITV (Internal Target Volume): CTV + en indre margin som tar hensyn tilindre bevegelser og endringer av CTV.
  • PTV (Planning Target Volume): Innstillingsmargin som inneholder ITV og samtidig tar hensyn til antatte pasientbevegelser, samt variasjoner i pasientopplegging og feltinnstillinger.
  • Feltgrense. Tegnes som oftest på kroppen.

ICRU (International Commission on Radiation Units and Measurements)

Gjennomføring

Helbredende strålebehandling

Dosehastigheten er 0,5–5 Gy per minutt, og det tilstrebes ensartet dose, eventuelt ved anvendelse av kompensasjon. Alle felt (som oftest tre) behandles ved hver fraksjon.

Standard strålebehandling i kombinasjon med cellegift

Det gis 50 Gy fordelt på 25 fraksjoner av 5 uker til tumor, kombinert  med 3–4 CiFu kurer (cisplatin, 5-FU). Risikoområder får 46 Gy over 23 fraksjoner.

Hyperfraksjonert strålebehandling.

Behandlingen gis to ganger daglig med 35 Gy fordelt over 20 fraksjoner over 2 uker mot ITV. Etter en behandlingspause på to uker gis 28 Gy fordelt over 16 fraksjoner over 10 dager mot GTV. Dette gir en totaldose på 64 Gy.

To uker senere avsluttes behandlingen med én endokavitær dose på 8 Gy. Totaldosen blir da 72 Gy over 7½ uke, som er en helbredende dose for plateepitelkarsinomer. Behandlingen tolereres godt. Ulempen er at mikroskopisk spredt sykdom ikke blir behandlet. Det anses som for toksisk å kombinere denne strålebehandlingen med cellegiftbehandling.

Lindrende strålebehandling

Strålebehandling gis i doser 30–36 Gy over 10–12 fraksjoner, daglig behandling. Når utvendig dose 30 Gy gis, suppleres det oftest med 2 endokavitære behandlinger. Hver endokavitære dose på 8 Gy gis etter 1 uke og med intervall på 1 uke.

Oppfølging

Pasienten kontrolleres med endoskopi første gang 6 uker etter avsluttet behandling. Senere kontroller er individuelle, og foregår ved pasientens lokalsykehus.

Tidlige følger av utvendig strålebehandling

Svelgeproblemer

Strålebehandling som inkluderer større eller mindre deler av mediastinum og halsen, fører til irritasjon og sårhet i svelget og spiserøret, som igjen kan medføre svelgeproblemer. Kostholdsråd, ”smøring” med fløte eller is rett før matinntak, eventuelt lokalbedøvende eller systemiske smertestillende vil hjelpe.

Hudreaksjoner

Strålereaksjoner i huden er vanlig og forsterkes ved økende doser. Sårheten kan også vedvare og/eller øke frem til minst et par uker etter avsluttet strålebehandling. Hudpartier som ligger mot hverandre, for eksempel under brystene, er spesielt utsatt. Lufting, saltvannsomslag og parfymefrie kremer kan hjelpe. Salver eller kremer må ikke påføres strålefeltet de siste timene før hver behandlingsseanse.

Tretthet

Strålebehandlingen kan føre til at pasienten føler seg mer trett og slapp. Nedsatt matlyst, kvalme, diaré og smerter kan gi tretthet. Trettheten går ikke alltid over når behandlingen er ferdig. Ved poliklinisk behandling kan slitenhet også være forårsaket av lang transport.

Lunge og luftveissymptomer

Hevelse i vevet/slimhinnen som bestråles kan føre til midlertidig forverring av pustevansker etter de første behandlingene. Lungebetennelse og feber som følge av strålebehandling kan også forekomme.

Tidlige følger av utvendig strålebehandling i kombinasjon med cellegift behandling

Påvirkning av benmargen

Benmargen produserer røde og hvite blodlegemer, samt blodplater. Cellegiften kan føre til forbigående nedsatt produksjon, slik at antallet reduseres. Dette kan medføre svekket infeksjonsforsvar (lavt antall hvite blodlegemer), tendens til neseblødning og hudblødninger (lavt antall blodplater), samt blodfattighet (lav blodprosent).

Senfølger av utvendig strålebehandling

Sykelig nydannelse av bindevev (fibrose). Bindevevet i spiserøret blir hardt med arrdanning.

Fistler kan oppstå. Det har da gjerne vært gjennomvekst av tumor til luftrøret.