Utskriftsdato ()

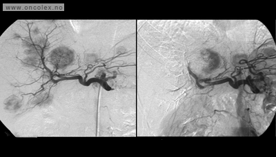
Embolisering av pulsåren til lever

Embolisering av pulsåren i leveren gjøres ved spredning til leveren fra andre organer. Ved å embolisere pulsåren til svulsten med små partikler, kan man hindre blodtilførselen til svulstvevet, og hele eller deler av svulsten vil dø. Inngrepet utføres av røntgenlege.

Levercellene får blod dels fra pulsåren inn til lever (arteria hepatica) og dels fra portåren (vena porta). Kreftcellene får blod hovedsakelig fra pulsåren. Dette kan utnyttes i behandlingen. Når pulsåren emboliseres, vil de normale cellene i området fortsatt overleve fordi de får blod fra portåren. Denne behandlingen egner seg spesielt dersom man har mange og store spredningssvulster i leveren. Vanligvis emboliseres en av leverlappene av gangen.

Embolisering av lever kan også vurderes for pasienter uten alvorlige symptomer, da prosedyren kan gjentas. Men effekten tapes ved gjentatte emboliseringer av samme lapp, hovedsakelig på grunn av dannelse av nye pulsårer rundt åren som er tettet. Ved senere prosedyrer vanskeliggjør dette effektiv embolisering av pulsåreforsyningen.

Behandlingen kan være aktuelt tidlig for å redusere svulstmengde, eller senere når spredningssvulstene til leveren øker i størrelse tross annen behandling. Behandlingen lindrer ofte symptomer, særlig hos dem som har hormonsymptomer. Det kan være raskt forbigående blodtilstrømning og rødhet i ansiktet eller på halsen (flushing) og diaré. Man kan antageligvis oppnå en viss livsforlengende effekt ved behandlingen.

Embolisering av pulsåren til leveren skal ikke gjøres ved sentral blodpropp i portåren. Andre forhold som taler i mot behandlingen er dårlig allmenntilstand. Ved kirurgisk anlagt forbindelse mellom tynntarm og gallegang er det økt fare for infeksjon. Ved lite gjenværende levervev er det fare for leversvikt.

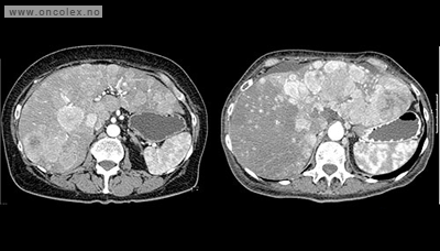
Beskrivelse av embolisering av høyre leverlapp

Før operasjonen utredes leveren ved CT eller MR. Sandostatin® gis før inngrepet. Dette er et syntetisk framstilt medikament som har samme virkning som somatostantin, som hemmer frigjøring av hormoner og utskillelse av sekret fra blant annet galleblæren.

Det gis lokalbedøvelse. Røntgenlegen fører et kateter inn til pulsåren til leveren via pulsåren i lysken. For å tette arteriene sprøytes små partikler inn gjennom kateteret. Behandlingen kan vare fra 30 minutter og opp til flere timer. Til slutt kontrolleres resultatet med angiografi, og innstikkstedet i lysken lukkes.

Etter operasjonen kontrolleres pasienten med CT eller MR. Dette gjøres vanligvis 6 måneder etter inngrepet. 

Komplikasjoner som kan oppstå:

I dagene etter emboliseringen kan pasienten bli svært syk med høy feber, magesmerter og kvalme. Dette skyldes væskeopphopning i leveren, og at en betydelig mengde stoffer fra dødt svulstvev slippes ut i blodet. Sykehusopphold på 1 til 2 uker etter inngrepet er vanlig.

Hvis det under inngrepet har skjedd en tilfeldig embolisering av pulsåren fra lever til galleblære kan føre til vevsdød i galleblæren og bukhinnebetennelse.

Video av leverarterieembolisering