PET/CT (PET: Positron Emisjons Tomografi/ CT: Computer Tomografi) er en avansert nukleærmedisinsk bildetakingsmetode. Metoden er et godt dokumentert, veletablert og svært nyttig verktøy i bildediagnostikk ved kreft. Et PET-kamera gir tredimensjonale bilder av hele kroppen. Integrert CT gjør at informasjonen fra PET blir lokalisert anatomisk nøyaktig.
Kort beskrivelse av undersøkelsen
Gjennom en nål (plastkanyle) i en blodåre i armen vil du få et radioaktivt stoff. Det mest vanlige er radioaktivt druesukker (18F-FDG). Stråling fra det radioaktive stoffet registreres i PET-skanneren og viser hvordan dette stoffet fordeler seg i kroppen. Det normale opptaket av det radioaktive stoffet vil være endret ved sykdomsprosesser. Celler med høyt stoffskite, som for eksempel kreftceller, har økt opptak av sukker. Ved undersøkelsen kan man dermed ofte se større opptak av det radioaktive sporstoffet i kreftsvulster. Siden CT tas samtidig, kan PET og CT bildene legges sammen og vise nøyaktig hvor i kroppen det økte opptaket er.
Hvorfor gjennomføres undersøkelsen?
PET/CT er til hjelp når vi skal påvise forskjellige sykdommer. Det kan være kreft, nevrologiske sykdommer (for eksempel demens og epilepsi), hjerte- og karsykdommer eller betennelsestilstander. Målet er å få en konkret diagnostikk som gir grunnlag for valg av best mulig behandling.
Ved kreftsykom utføres PET/CT:
- for å påvise kreft og vurdere hvor utbredt sykdommen er ved diagnosetidspunkt
- for å vurdere effekt av pågående cellegiftbehandling
- for å vurdere effekt av gjennomgått behandling
- ved mistanke om tilbakefall
Hvordan kan jeg forberede meg?
PET/CT er en dyr og krevende undersøkelse. For å få et best mulig resultat, er det veldig viktig at du leser innkallingsbrevet du har fått nøye. Innkallingsbrevet inneholder mer utfyllende informasjon om PET undersøkelsen du skal til.
- Du skal ikke ha noen form for fysisk trening siste 24 timer før undersøkelsen.
- Du må holde deg varm og ikke fryse de siste 24 timene før undersøkelsen.
- Du skal faste (ikke spise, røyke, bruke snus, tygge tyggegummi/pastiller, bruke munngel/spray) minimum 6 timer før oppmøte. Du skal drikke 2–4 glass rent vann uten smakstilsetninger før oppmøte.
- Medisiner kan tas som normalt. NB: ved diabetes gjelder spesielle forholdsregler, ta derfor kontakt med oss. Vi ber deg ta med egne smertestillende hvis du bruker dette. Hvis behov kan du få beroligende på sykehuset, men husk at du da ikke kan kjøre bil hjem selv.
- Ta med liste over faste medisiner du tar.
- Vi ber om at smykker blir liggende igjen hjemme denne dagen.
- Barn og gravide skal ikke tas med som ledsager til undersøkelsen.
Hvordan foregår undersøkelsen?
Den praktiske delen av PET/CT undersøkelsen utføres av bioingeniør og radiograf. Du må fjerne smykker og annet metall (for eksempel beltespenne, klokke, mynter i lommer). Vi legger inn en nål (plastkanyle) i armen. For undersøkelser med 18F-FDG vil vi kontrollere sukkerverdien i blodet ditt. Blodsukkeret må være lavere enn 7 mmol/L før hjerne-undersøkelser og under 10 mmol/L (helst under 8 mmol/L) for andre PET- undersøkelser. Du vil få en egen seng der du ligger frem til bildetaking.
Vi setter inn det radioaktive sporstoffet i plastkanylen. Det tar cirka en time før stoffet tas opp i vevet og i denne tiden må du ligge i ro. Det viktig at du ligger avslappet i et stille rom uten å snakke, og unngår alle former for stimuli. Dette gjøres for at opptak av 18F-FDG skal bli optimalt.
Deretter begynner bildetakingen, dette foregår i en scanner i et annet rom. PET/CT-maskinen har en stor åpning i midten, og gjennom den flyttes undersøkelsesbenken som du ligger på frem og tilbake, mens bildene tas. Under selve bildeopptaket må du også ligge helt stille. Under bildeopptak sitter personalet i et rom ved siden av og følger med via et observasjonsvindu og videoskjerm. Bildetakingen tar 15–60 min, avhengig av problemstilling. Det vanligste er i underkant av 30 min.
Gjør det vondt?
Bortsett fra et stikk i armen i forbindelse med innlegging av plastkanylen, er undersøkelsen som regel ikke forbundet med smerte eller plager. Under avbildningen må du ligge helt i ro, fortrinnsvis med armene over hodet, noe som kan være ubehagelig for enkelte.
Hvor lenge varer undersøkelsen?
Undersøkelsen varer i 2–4 timer
Hva skjer etterpå?
Du reiser hjem eller eventuelt tilbake til avdelingen. Når undersøkelsen er ferdig kan du spise som normalt. Undersøkelsen krever gransking og bearbeidelse av bildene som er tatt, den blir deretter besvart av legen (nukleærmedisiner) og eventuelt radiolog. Resultatet foreligger samme dag eller etter noen dager. Skriftlig svar sendes legen som har henvist deg til oss. Inneliggende pasienter kan vanligvis få svar neste dag via lege på avdelingen.
Må jeg ta medisiner?
Stort sett kan du ta medisiner som normalt. Dersom du har diabetes er det noen begrensninger på når du kan ta insulin. Dette står det mer om i innkallingsbrevet.
Bivirkninger og komplikasjoner
De radioaktive sporstoffene gir ikke bivirkninger. Våre undersøkelser innebærer små doser radioaktivitet til pasienten, og vil ikke medføre større strålebelastning enn en vanlig røntgenundersøkelse.
Skal jeg til kontroll eller følges opp på noen måte?
Resultatet sendes til din lege som vil følge deg opp videre.
Ofte stilte spørsmål
- Hvor lenge er jeg "radioaktiv"? Radioaktiviteten forsvinner gradvis ut av kroppen din. Etter 4–5 timer er nesten alt borte.
- Kan jeg ta andre typer undersøkelser samme dag? Du kan ikke ta nukleærmedisinske undersøkelser (scintigrafi) før neste dag. Andre undersøkelser kan du ta.
- Kan jeg amme barnet mitt etter undersøkelsen? Ved undersøkelser med 18F-FDG vil ikke det radioaktive sporstoffet gå over i melk. Imidlertid anbefales det at nærkontakt med spedbarn holdes så kortvarig som mulig i inntil 12 timer etter injeksjon. Om praktisk mulig bør derfor også amming unngås i denne perioden. Utpumpet morsmelk kan gis til barnet via flaske. Ved undersøkelser med 68Ga-Dotatoc bør amming avbrytes i 8 timer etter injeksjon av det radioaktive sporstoffet. Eventuell utpumpet melk må kastes.
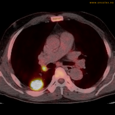
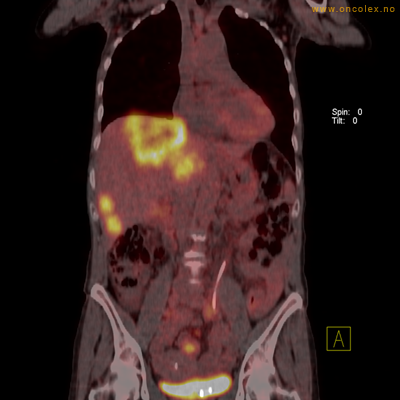
Eksempler på funn
Vev som tar opp mer radioaktivt stoff, synes som hvite områder som lyser opp mer i forhold til annet vev som tar opp mindre sukker.
Moderat opptak i bløtvevssarkom venstre halvdel av brystkassen. Områder med lavere opptak antas å skyldes dels betennelse som skyldes svulsten, dels svulstnekrose.
Høyt opptak av 18F-FDG ved analkreft.
Moderat opptak av FDG i bløtvevssarkom venstre halvdel av brystkassen. Områder med lavere opptak antas å skyldes dels betennelse som skyldes svulst, dels svulstnekrose.
Kraftig opptak i svulst i lunge.
Lungekreft med spredning til lymfeknute i lungehilus.
Adenokarsinom distalt i spiserør. Fysiologisk opptak i hjertemuskulatur.
Adenokarsinom langt nede i spiserøret.
Høyt opptak av 18F-FDG i adenokarsinom i rektosigmoideumovergangen. Fysiologisk opptak i blæren.
Spredningssvulster til lever med sentral nekrose.
Forrige
Neste