Utskriftsdato ()

Cystoskopi med fotodynamisk diagnostikk (PDD)

Cystoskopi er en endoskopisk undersøkelse av urinrøret og urinblærens innside. Et rørformet kikkertinstrument med en lyskilde (cystoskop) føres gjennom urinrøret og inn til urinblæren for å studere hele blærens innside. Det gjøres ved utredning av ikke-muskelinfiltrerende (overfladisk) urotelkreft i blæren, spesielt ved mistanke om karsinom in situ (Tis) hos pasienter med kjent eller mistenkt blærekreft. Undersøkelsen gjøres også ved kontroll av høyrisikopasienter for å påvise tilbakefall. I spesielle tilfeller kan det benyttes som støtte ved TUR-B for å kunne se svulster i overflatelaget.

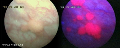
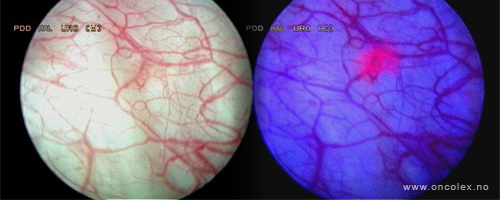
Ved cystoskopi med fotodynamisk diagnostikk (PDD) brukes et farmasøytisk middel (heksaminolevulinate), som sprøytes inn i urinblæren før undersøkelsen. Dette middelet er utviklet for å utrede kreft i urinblæren og brukes i forbindelse med cystoskopi. Middelet tas opp raskt av eventuelle kreftceller. Det er spesielt nyttig for å finne karsinom in situ i overflatelaget, som er flate og ikke alltid oppdages ved tradisjonell cystoskopi i hvitt lys.

Bildeeksempler

Ved bruk av dette middelet i kombinasjon med et blått lys på cystoskopet, vil forandringer i urotelet vises i form av endret fargestruktur. Svulster vil da lyse rødt. Denne undersøkelsen betegnes fotodynamisk diagnostikk (PDD). Ved hjelp av denne metoden kan flere svulster oppdages på et tidlig tidspunkt sammenliknet med tradisjonell cystoskopi med hvitt lys alene.

Det er sett svært lite medikamenttoksisitet ved bruk av heksaminolevulinate.

Beskrivelse av undersøkelsen

Lokalt bedøvelsesmiddel (Xylocain gel®) sprøytes inn i urinrøret før undersøkelsen. Ved behov for narkose under undersøkeIsen (ved vevsprøvetaking eller kirurgi) må pasienten faste.

Cirka en time før cystoskopi settes det inn et engangskateter i urinrøret. Blæren tømmes, før 50 ml av den ferdigblandede heksaminolevulinate-oppløsningen settes inn i blæren via kateteret. Pasienten bør holde på væsken i cirka 60 minutter før blæren tømmes.

Cirka en time etter blæretømmingen påbegynnes cystoskopi med fluoriserende (blått) lys.

Cystoskopinstrument føres inn i blæren via urinrøret. Forandringer i blæreurotelet kartlegges ved å undersøke pasienten både ved hjelp av hvitt lys og blått lys. Under undersøkelse i blått lys vil forandringene tre frem som fargede felt i blæren. Ved behov tas det vevsprøver fra mistenkelige områder (tas under hvitt lys).

Middelet som sprøytes inn i blæren før undersøkelsen gir sjelden bivirkninger. Det kan være noe blodig urin og litt svie ved vannlatning de første dagene etter undersøkelsen. Oppfølging avtales individuelt etter diagnose og behandlingsopplegg.